Bé gái 11 tháng tuổi bị nhiễm vi khuẩn Whitmore
- Nguyễn Sơn
- •
Bé gái 11 tháng tuổi, ở Yên Bái, được đưa vào Khoa Nhi – Bệnh viện Đa khoa Hùng Vương Phú Thọ trong tình trạng đã sốt cao 7 ngày, rét run, ho đờm nhiều.

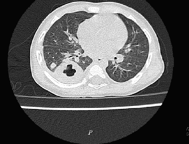
Thông tin từ Bệnh viện Đa khoa Hùng Vương ngày 19/8 cho biết sau khi tiếp nhận, đến ngày thứ 5 điều trị, bệnh nhi vẫn còn sốt cao từng cơn 40 độ, trong cơn sốt bị rét run, ho đờm nhiều, khò khè. Nhận thấy đây là tình trạng nặng, các bác sĩ Khoa Nhi đã cho trẻ làm các xét nghiệm máu, chụp XQuang tim phổi, cấy máu, chụp cắt lớp vi tính phổi.
Kết quả kiểm tra cho thấy bệnh nhi bị nhiễm khuẩn huyết, áp xe phổi. Ba ngày sau, kết quả cấy máu cho thấy bé dương tính với Whitmore (Burkholderia pseudomallei).
Sau khi hội chẩn toàn viện và hội chẩn với các bác sĩ Bệnh viện Nhi Trung ương, các bác sĩ quyết định bệnh nhi cần dùng kháng sinh điều trị bệnh, phẫu thuật ngoại khoa dẫn lưu mủ trong phổi. Theo đó, các bác sĩ thống nhất chuyển bệnh nhi về Bệnh viện Nhi Trung ương (Hà Nội) để điều trị tiếp.
Hiện các bác sĩ vẫn chưa rõ bé nhiễm vi khuẩn Whitmore từ nguồn nào. Theo bác sĩ Phạm Văn Hà – Khoa Nhi, Bệnh viện đa khoa Hùng Vương, bệnh “vi khuẩn ăn thịt người” (tên khoa học Whitmore) rất khó phát hiện do dễ nhầm lẫn với các bệnh khác và không được điều trị kịp thời. Ngay cả khi được chẩn đoán đúng bệnh, việc điều trị cũng vô cùng khó khăn và có nguy cơ tử vong cao.
Bệnh vi khuẩn “ăn thịt người” Whitmore (hay còn gọi là bệnh Melioidosis) là bệnh truyền nhiễm nguy hiểm cấp tính do vi khuẩn gram âm có tên Burkholderia pseudomallei gây nên. Bệnh do bác sĩ Afred Whitmore mô tả năm 1912 tại Miến Điện, từ đó lấy tên Whitmore. Vi khuẩn này sống trên bề mặt nước và trong đất đặc biệt là bùn đất, lây sang người qua vết trầy xước trên da hoặc qua đường hô hấp khi hít phải các hạt bụi đất hoặc giọt nước li ti trong không khí có chứa vi khuẩn, nhất là vào mùa mưa.
Chẩn đoán bệnh Whitmore dựa vào các yếu tố dịch tễ như tiếp xúc với đất, nước, bụi, các dấu hiệu lâm sàng và có kết quả định danh vi khuẩn B. pseudomallei từ các mẫu bệnh phẩm.
Tại Việt Nam, bệnh Whitmore được mô tả lần đầu tiên vào năm 1925 tại TP. HCM, sau đó là Hà Nội, Huế.
Trong năm 2019, căn bệnh này xuất hiện nhiều. Trung tâm Bệnh Nhiệt đới, Bệnh viện Bạch Mai, cho biết riêng tháng 8/2019 ghi nhận 12 ca Whitmore nặng được chuyển đến, chủ yếu từ các tỉnh phía Bắc và Bắc Trung bộ (trước đây, 5-10 năm mới có 20 ca Whitmore).
Ths. Đào Thị Thanh Huyền – Khoa Vi Sinh, Bệnh viện Đa khoa tỉnh Quảng Trị cho biết từ năm 2015-2019, tại Bệnh viện Đa khoa tỉnh Quảng Trị đã phân lập trên 40 chủng Whitmore.
Bệnh có các dấu hiệu và triệu chứng khác nhau:
- Nhiễm trùng phổi: Tác động của nhiễm trùng phổi có thể từ viêm phế quản nhẹ đến viêm phổi nặng với các triệu chứng như sốt, nhức đầu, chán ăn, ho, khó thở, đau ngực và đau nhức cơ.
- Nhiễm trùng cục bộ: Đau hoặc sưng ở một vùng nhất định (khu trú), chẳng hạn như tuyến mang tai, nơi thường liên quan nhất với quai bị và nằm bên dưới và phía trước tai.
- Nhiễm trùng trên da (viêm mô tế bào) với các dấu hiệu đau hoặc sưng, loét và áp xe, kèm theo sốt và đau cơ.
- Nhiễm trùng máu: Nếu vi khuẩn Whitmore xâm nhập vào máu sẽ gây nên tình trạng nhiễm trùng máu với các triệu chứng gồm: sốt cao rét run, đau đầu, đau họng, khó thở, đau vùng bụng trên, tiêu chảy, đau khớp và đau cơ, vết loét có mủ trên da…
- Nhiễm trùng lan tỏa: Vết loét hình thành ở nhiều cơ quan khác nhau rải rác trên cơ thể, sụt cân, đau đầu, co giật, đau ở các bộ phận khác nhau (ngực, dạ dày, cơ, khớp).
Theo Cục Y tế dự phòng (Bộ Y tế), một số cách để phòng bệnh Whitmore như: Hạn chế tiếp xúc với đất hoặc nước bùn, đặc biệt là những nơi bị ô nhiễm nặng, khi bị vết thương hở, vết loét hoặc vết bỏng. Nếu bắt buộc phải tiếp xúc thì sử dụng băng chống thấm và cần được rửa sạch đảm bảo vệ sinh.
Sử dụng giày, dép và găng tay khi làm việc ngoài trời, tiếp xúc với đất và nước bẩn, đặc biệt đối với những người có nguy cơ cao (người mắc bệnh tiểu đường, suy giảm miễn dịch, viêm thận mãn tính có vết xước, hay vết thương hở trên da).
Ngoài ra, bác sĩ Hà (Khoa Nhi, Bệnh viện đa khoa Hùng Vương) cho biết nhân viên y tế nên đeo khẩu trang, găng tay và áo khoác diệt khuẩn khi làm việc; trong sinh hoạt nên khử trùng thớt, dao và thường xuyên thay miếng rửa chén trong gia đình, uống nước đun sôi, nước đóng chai.
Nếu nghi ngờ mắc bệnh Whitmore, mọi người hãy đến ngay cơ sở y tế để được thăm khám và điều trị kịp thời.
Từ khóa bệnh truyền nhiễm Bệnh Whitmore


