Trung Quốc: Nhiều người bị “phổi trắng”, nghi xuất hiện chủng đột biến mới
- Dương Thiên Tư
- •
Số ca nhiễm và tử vong tại nhiều tỉnh ở Trung Quốc Đại Lục tăng vọt trong những ngày gần đây, lò hỏa táng ở nhiều nơi đã quá tải. Trong những ngày qua, một lượng lớn người đã chia sẻ thông tin trên Weibo rằng những người bị nhiễm dịch được chẩn đoán bị viêm phổi nặng và thậm chí tử vong vì loại virus “phổi trắng” đáng sợ.

Một bác sĩ Vũ Hán giấu tên tiết lộ với Vision Times rằng dịch bệnh gần đây ở Vũ Hán rất nghiêm trọng, không tệ hơn ở Bắc Kinh, các bệnh viện lớn ở khu vực thành thị đều quá tải, rất nhiều người có triệu chứng nặng không có giường bệnh để nằm viện, người chết vì dịch bệnh không chỉ có người già mà cả thanh niên và trung niên, sốt cao kéo dài và có nhiều người có triệu chứng “phổi trắng”, tình hình thực tế hoàn toàn không phù hợp với những gì Chính phủ Trung Quốc nói.
Hiện tại Đại Lục đang bùng phát một loại dịch bệnh chưa rõ nguồn gốc, nhiều bệnh nhân có phổi màu trắng, triệu chứng rất khác với chủng đột biến Omicron trên quốc tế, lò hỏa táng quá tải, rất nhiều quan chức ĐCSTQ và người trong giới khoa học hưởng đặc quyền, giới văn nghệ, người nổi tiếng trong giới y học, người nổi tiếng trên mạng, đã qua đời trong thời gian gần đây.
- Trung Quốc: 5 viện sĩ của ĐCSTQ qua đời chỉ trong 1 ngày
- Hàng loạt đảng viên kỳ cựu và chuyên gia hàng đầu của ĐCSTQ qua đời trong tháng 12
- TQ: Nhiều chuyên gia và người nổi tiếng qua đời, số liệu công khai bị nghi ngờ
- Trung Quốc: Quá nhiều người chết, nhà tang lễ các nơi quá tải
Mới đây, đông đảo người dân cũng đưa tin trên Weibo, người nhiễm dịch được chẩn đoán viêm phổi nặng, người già nhập viện phát hiện triệu chứng “phổi trắng”, cũng có trường hợp tử vong.
“Phổi trắng” là một trong những triệu chứng điển hình của virus corona mới ở giai đoạn đầu, hiện tại có đoạn ghi âm cuộc trò chuyện của một người bị nghi ngờ là người trong bệnh viện lan truyền trên Weibo ở Trung Quốc Đại Lục, chỉ ra rằng loại virus này được trộn lẫn với nhiều chủng ban đầu không rõ nguồn gốc, cho nên xuất hiện nhiều người khỏe mạnh có “lá phổi trắng”.
Ngoại giới nghi ngờ rằng ĐCSTQ có thể đã che giấu loại virus đột biến mới.
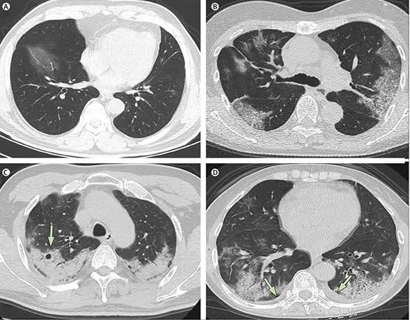
“Phổi trắng” là chỉ bệnh nhân bị viêm phổi nặng khi kiểm tra X-quang, phổi xuất hiện một mảng trắng lớn, có nghĩa là phổi bị ăn mòn và xơ hóa nghiêm trọng, đây là một triệu chứng nghiêm trọng của bệnh viêm phổi, gây nguy hiểm đến tính mạng người bệnh.
Phàn Đăng (Fan Deng), từng là người dẫn chương trình CCTV, cách đây vài ngày cho biết bố anh đã qua đời vì bạo bệnh, “Ông được đưa đến bệnh viện với lá phổi trắng, phổi của ông gần như biến thành màu trắng.”
Mai Tân Dục (Mei Xinyu), một nhà kinh tế học nổi tiếng, đã đăng trên Weibo vào ngày 20/12 rằng, bố của bà Hồ An Cương (Hu Angang), một học giả cánh tả, đã chết vì bệnh viêm phổi, “Khi chụp cắt lớp (CT) ở bệnh viện, thì thấy phổi đã trắng 1/4”.
Ngoài các thành viên gia đình của người quá cố đăng tin về phổi trắng, còn có nhân viên y tế, những người lo lắng triệu chứng điển hình của “phổi trắng” trong đợt bùng phát dịch ở Vũ Hán 3 năm trước sẽ xuất hiện trở lại. Nhiều nhân viên y tế đã đăng trên Weibo những bức ảnh chụp trong bệnh viện cho thấy phổi của nhiều bệnh nhân đã bị xơ hoàn toàn.
Một bác sĩ của Bệnh viện Triều Dương Bắc Kinh đã đăng một đoạn video lên Weibo, ghi lại quá trình phổi của một cụ già ở tuổi 70 bị ‘trắng hóa’ nhanh chóng. Theo thông tin, cụ ông bị nhiễm bệnh mới chỉ được một ngày.
Một bác sĩ ở Hà Nam tuyên bố có hai bệnh nhân tử vong vào sáng 23/12, một trong số đó có lá phổi lớn màu trắng; Cùng ngày, một nhân viên y tế từ Sơn Đông cũng đăng trên Weibo cho biết hình ảnh chụp CT của một bệnh nhân có phổi trắng.
Một cư dân mạng khác ở Tứ Xuyên tiết lộ: “Sau khi người dì 76 tuổi được đưa đến bệnh viện, bà đã được đưa trực tiếp đến phòng ICU để cấp cứu. Lúc đó, người cô đã bất tỉnh và suy hô hấp. Bác sĩ cho biết phổi của bà hoàn toàn biến thành trắng, cần phải cắt khí quản ngay lập tức và cho thở máy”. Sau nhiều ngày điều trị trong ICU, cuối cùng vẫn không qua khỏi.

Chuyên gia: Triệu chứng phổi trắng có tỷ lệ tử vong trên 40%
Trương Lê (Zhang Li), một bác sĩ ở Đại Lục cho biết, tỷ lệ tử vong của những bệnh nhân phổi trắng nặng là hơn 40%. Có 2 nguyên nhân gây tra phổi trắng: Bản thân phổi bị nhiễm, hoặc các bộ phận khác của cơ thể bị nhiễm dẫn đến phản ứng viêm của cơ thể.
“Phổi trắng” còn được gọi là Hội chứng suy hô hấp cấp tính (ARDS), thường dùng để chỉ biểu hiện của bệnh nhân bị viêm phổi nặng khi kiểm tra X-quang hoặc CT. Biểu hiện lâm sàng là tức ngực, khó thở, hô hấp kém, độ bão hòa oxy trong máu của bệnh nhân phổi trắng thấp, dẫn đến tình trạng thiếu oxy trầm trọng.
La Binh (Luo Bing), một người làm truyền thông cá nhân trên YouTube từ Trung Quốc Đại Lục, đến từ Vũ Hán, 3 ngày trước đã làm một video cho thấy phổi của anh cũng có màu trắng, hơn nữa các bệnh viện ở Vũ Hán chật kín đến mức không còn giường bệnh.
Một bác sĩ ở Vũ Hán lo lắng về việc bị chính quyền đàn áp đã tiết lộ riêng với các phóng viên: Nhiều người đã chết tại các bệnh viện lớn ở Vũ Hán, và nhiều người trong số họ là người khỏe mạnh có triệu chứng “phổi trắng”.
Khoa học gia: Trung Quốc xuất hiện chủng đột biến mới có khả năng gây bệnh và gây chết người mạnh hơn
Tình hình dịch bệnh tại Trung Quốc Đại Lục thu hút sự quan tâm của quốc tế, các nhà khoa học ngoài Trung Quốc chỉ ra rằng chủng đột biến mới có thể là sự kết hợp của tất cả các chủng trước đó, hoặc nó có thể là một chủng hoàn toàn mới.
Tiến sĩ Stuart Roy, chuyên gia về bệnh truyền nhiễm của Đại học Johns Hopkins Stuart, cho biết trong một cuộc phỏng vấn với hãng tin AP: “Mỗi khi chúng ta thấy một làn sóng bùng phát mới, chúng ta thường thấy sự xuất hiện của các chủng đột biến mới sau đó”.
Tiến sĩ Stuart Roy cho biết mỗi lần lây nhiễm mới đều có khả năng tạo cơ hội cho virus biến đổi. Tuy nhiên, Trung Quốc, quốc gia có dân số 1,4 tỷ người, đồng thời từ bỏ các biện pháp phòng chống dịch cực đoan là “zero COVID linh động”, hiện đang ở trong một đợt bùng phát lớn mới, cũng chính vì thế, virus xuất hiện đột biến mới và việc tạo ra các chủng đột biến mới là có khả năng rất cao.
Các nhà khoa học nhận thấy rằng khi loại virus corona mới lần đầu tiên lây lan từ Trung Quốc ra thế giới cách đây 3 năm, chúng ta đã thấy biến thể Delta, sau đó là biến thể Omicron và những biến thể này vẫn đang gây hại cho sức khỏe cộng đồng ở nhiều nơi trên thế giới.
Điều không rõ ràng là nếu các chủng đột biến mới xuất hiện, liệu những chủng mới này có độc lực hơn và gây bệnh nghiêm trọng hơn hay không.
Từ khóa Dòng sự kiện viêm phổi Vũ Hán COVID-19 Dịch bệnh ở Trung Quốc



