Tháng 7, 2020
- 9 Tháng 7
Vì sao phi công người Anh được đưa về nước bằng Boeing 787?
Chuyến bay đưa phi công người Anh nhiễm COVID-19 về nước sẽ sử dụng máy bay Boeing 787, trái với thường lệ khai thác bằng máy bay Airbus 350.
Tháng 6, 2020
- 9 Tháng 6
Bệnh nhân phi công người Anh đã tỉnh táo, có thể ngồi tập sức cơ chân
Sau 83 ngày điều trị, bệnh nhân 91 - nam phi công người Anh đã ngồi dậy được, tập sức cơ cả hai bên chân, phản xạ giao tiếp tốt.
Tháng 5, 2020
- 24 Tháng 5
Sự sống của BN91 vẫn phụ thuộc vào ECMO, xét phương án chuyển về nước
Theo Giám đốc Bệnh viện Chợ Rẫy, bệnh nhân 91 vẫn tiên lượng còn nặng, phụ thuộc gần hoàn toàn vào hệ thống ECMO, nhiễm trùng phổi, tổn thương thận cấp.
- 14 Tháng 5
Hai người Việt muốn hiến phổi cho bệnh nhân 91
Một phụ nữ ngoài 40 tuổi và một cựu chiến binh ngoài 70 tuổi liên hệ cơ quan y tế, mong muốn được hiến một phần lá phổi của mình để cứu bệnh nhân 91.
- 13 Tháng 5
Bệnh nhân 91 rất nguy kịch, được chỉ định ghép phổi
Sau 55 ngày tiến hành điều trị, hiện nam phi công người Anh vẫn trong tình trạng nguy kịch, 2 lá phổi đông đặc, chỉ còn khoảng 10% hoạt động.
- 8 Tháng 5
Bệnh nhân 91 tiên lượng nặng, đang được xem xét ghép phổi
Sau hơn 50 ngày điều trị (trong đó 32 ngày được can thiệp ECMO), bệnh nhân 91 vẫn đang trong tình trạng nguy kịch, chưa nhận định được khả năng phục hồi.
Tháng 4, 2020
- 16 Tháng 4
BN91: Mẫu bệnh phẩm chỗ âm tính, chỗ dương tính với virus Vũ Hán
Kết quả xét nghiệm của bệnh nhân 91 (phi công người Anh) cho thấy dịch rửa phế quản đã âm tính, dịch mũi họng còn dương tính với virus Vũ Hán.
- 13 Tháng 4
BN91 lại dương tính với nCoV, biểu hiện suy đa tạng, đang nguy kịch
Bác sĩ tại Bệnh viện Bệnh Nhiệt đới TP.HCM cho biết bệnh nhân 91 lại dương tính trở lại sau 1 ngày âm tính, tổn thương phổi còn diễn biến xấu.
- 13 Tháng 4
Phi công Anh (BN 91) đang nguy kịch
Bộ Y tế cho biết Việt Nam hiện có 2 bệnh nhân có tiên lượng nặng (BN161) và nguy kịch (BN91), 1 bệnh nhân đã tiến triển.
- 12 Tháng 4
BN91 đã âm tính virus Vũ Hán, chưa có dấu hiệu hồi phục
Tính đến sáng ngày 12/4, bệnh nhân 91 vẫn không xấu hơn nhưng cũng chưa có dấu hiệu hồi phục, mặc dù kết quả xét nghiệm virus Vũ Hán đã âm tính.
- 11 Tháng 4
Thứ trưởng Bộ Y tế: Một số ca bệnh COVID-19 diễn biến nặng, vẫn tiên lượng tử vong
Theo Thứ trưởng Bộ Y tế , đến bây giờ Việt Nam chưa có ca nào tử vong do COVID-19 nhưng đã có những ca bệnh nặng, rất nặng, vẫn tiên lượng tử vong.
- 10 Tháng 4
‘Bệnh nhân 91 trở nặng có thể là do béo phì’
Đó là thông tin do Thứ trưởng Bộ Y tế Nguyễn Trường Sơn cung cấp.
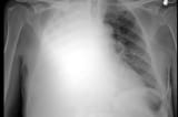
- 6 Tháng 4
Phi công người Anh (BN91) phải can thiệp ECMO vì phổi tổn thương nặng
Bác sĩ tại Bệnh viện nhiệt đới TP.HCM cho biết bệnh nhân 91 có hình ảnh chụp X-quang phổi tổn thương mô kẽ, phế nang lan tỏa 2 phế trường, diễn tiến ngày càng xấu…



























