Tháng 1, 2023
- 1 Tháng 1
Trung Quốc: Nhà tang lễ tại các TP cấp 1, cấp 2 và cấp 3 đều quá tải
Cơn sóng thần dịch bệnh quét qua Trung Quốc, các nhà tang lễ ở các tỉnh thành cũng đang quá tải trong việc xử lý thi thể.
Tháng 12, 2022
- 31 Tháng 12
WHO: Thế giới cần thêm thông tin về dịch bệnh tại Trung Quốc
Tổng giám đốc WHO cho biết tổ chức này cần thêm thông tin để tiến hành đánh giá rủi ro toàn diện về đợt bùng phát COVID-19 ở Trung Quốc.
- 31 Tháng 12
Mỹ dự tính xét nghiệm nước thải từ các chuyến bay quốc tế để tìm virus biến thể mới
Hoa Kỳ đang xem xét tiến hành xét nghiệm nước thải từ các chuyến bay quốc tế, nhằm truy tìm biến thể mới của COVID-19.
- 31 Tháng 12
TQ: Thiếu thuốc khiến bùng phát thị trường chợ đen, tự thiêu xác người thân trong khu dân cư
Dịch bệnh COVID-19 tại Trung Quốc diễn biến nghiêm trọng khiến nguồn lực y tế quá tải, kéo theo nhiều vấn nạn xã hội...
- 31 Tháng 12
Anh dự kiến yêu cầu du khách từ Trung Quốc phải có xét nghiệm COVID âm tính
Vương quốc Anh chuẩn bị gia nhập danh sách ngày càng dài các quốc gia thắt chặt quy định đối với người đến từ Trung Quốc.
- 31 Tháng 12
Tây Ban Nha quy định kiểm soát và phòng dịch du khách từ Trung Quốc
Du khách từ Trung Quốc Đại Lục đến Tây Ban Nha phải trình xét nghiệm âm tính với virus viêm phổi Vũ Hán (COVID-19)...
- 30 Tháng 12
Khảo sát: 52 triệu người ở Tứ Xuyên có thể đã nhiễm COVID
Ngày 26/12, CDC tỉnh Tứ Xuyên (Trung Quốc) công bố bảng câu hỏi khảo sát, cho thấy tỷ lệ lây nhiễm COVID-19 tại tỉnh này là 63,52%.
- 30 Tháng 12
Truyền thông Trung Quốc gọi kiểm soát du khách từ Hoa Lục là “phân biệt đối xử”
Các quốc gia trên thế giới lần lượt ra các biện pháp kiểm soát du khách từ Hoa Lục khi COVID-19 tái bùng phát ở Trung Quốc.
- 30 Tháng 12
CDC Hoa Kỳ cảnh báo cấp 2 đối với người Mỹ muốn đến Trung Quốc du lịch
Ngày 28/12, CDC Hoa Kỳ đã đưa ra mức cảnh báo cấp 2 đối với những du khách muốn đến Trung Quốc du lịch.
- 30 Tháng 12
‘Ông trùm phim kiếm hiệp’ Trương Kỷ Trung bị COVID nặng
Ông Trương Kỷ Trung cho biết, ban đầu ông chỉ đau họng, sau đó bắt đầu sốt, không ngờ rằng ngày hôm sau, sau khi chẩn đoán bị nhiễm COVID
- 30 Tháng 12
Bác sĩ ở Thẩm Dương: 50% người già nhiễm bệnh ở phòng cấp cứu sẽ tử vong
Các bác sĩ tại Trung Quốc Đại Lục mô tả với Sky News về cảnh tượng hỗn loạn trong bệnh viện Trung Quốc khi dịch COVID-19 tái bùng phát.
- 30 Tháng 12
TQ: Giới thượng lưu tích trữ thuốc trị COVID Paxlovid, giá chợ đen cao ngất ngưởng
Thuốc kháng virus Paxlovid của Pfizer đã trở thành món quà dành cho những người giàu có và quyền lực ở Trung Quốc.
- 30 Tháng 12
Biện pháp phòng ngừa dịch đối với du khách từ Trung Quốc của các nước
Các quốc gia đang áp đặt hoặc xem xét hạn chế đối với du khách đến từ Trung Quốc trong bối cảnh dịch COVID-19 tái bùng phát ở quốc gia này.
- 29 Tháng 12
Bác sĩ nước ngoài tại Trung Quốc nói về COVID: Chưa từng thấy trong 30 năm hành nghề
“Bệnh viện các cấp đều quá tải”, bác sĩ Bernstein nói, “Phòng chăm sóc đặc biệt cũng đã kín chỗ như phòng cấp cứu, khám sốt ...”
- 29 Tháng 12
Thượng Hải: Thi thể chất đống ở bệnh viện, nghĩa trang kêu gọi giúp xử lý xác chết
Đại dịch virus viêm phổi Vũ Hán (COVID-19) “như một cơn sóng thần” quét ngang Thượng Hải, vượt khỏi kiểm soát...
- 29 Tháng 12
Rùng mình cảnh nạn nhân COVID ở Thiên Tân – Trung Quốc [VIDEO]
Mới đây cộng đồng mạng người Hoa chia sẻ video cảnh tang thương ở Thiên Tân cho thấy nhà tang lễ và bệnh viện chật kín người.
- 28 Tháng 12
Quảng Châu: Cảnh thân nhân người quá cố xếp hàng dài ‘bất tận’ chờ lấy số
Tại Quảng Châu, những nguồn tin từ cộng đồng mạng người Hoa chỉ ra các nhà tang lễ đều quá tải, hệ thống y tế cũng trong cảnh tê liệt.
- 28 Tháng 12
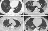
Trung Quốc: Nhiều người bị “phổi trắng”, nghi xuất hiện chủng đột biến mới
Trung Quốc Đại Lục bùng phát dịch, người dân liên tiếp đăng ảnh bản thân hoặc người thân bị phổi trắng do nhiễm virus corona mới.
- 28 Tháng 12
Chuyên gia cảnh báo việc ĐCSTQ mở toang đất nước khi COVID đang tung hoành chết chóc
Trong bối cảnh COVID-19 bùng nổ ở Trung Quốc làm vô số người thiệt mạng thì ĐCSTQ lại tuyên bố đổi tên dịch bệnh này và cho mở cửa đất nước.
- 28 Tháng 12
Bệnh viện ở Thượng Hải có hơn 80% nhân viên y tế nhiễm COVID-19
Hơn 80% bác sĩ và y tá tại Bệnh viện Hoa Sơn Thượng Hải bị nhiễm bệnh, ngoại trừ khoa cấp cứu tất cả đều ngừng hoạt động.


































