Tin tức sức khỏe

Một phụ nữ tử vong do uống phải thuốc sắc từ rễ cây lá ngón

Muốn chữa đau đầu, mất ngủ, người phụ nữ ở Hà Tĩnh uống thuốc sắc từ rễ cây cóc phơi khô, nhưng trúng chất độc của rễ cây lá ngón.

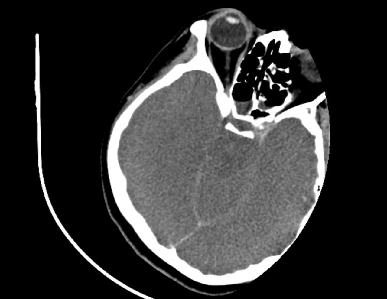
Nữ bệnh nhân ngộ độc lá ngón, tổn thương não. (Ảnh: bachmai.gov.vn)

Theo tin từ Bệnh viện Bạch Mai, ngày 4/7, Trung tâm Chống độc Bệnh viện Bạch Mai tiếp nhận bệnh nhân T.T.T (SN 1978, Hà Tĩnh) được chuyển đến từ Bệnh viện đa khoa tỉnh Hà Tĩnh trong tình trạng hôn mê sâu, ngừng tuần hoàn.

Theo bệnh sử, 6h30 ngày 4/7, bệnh nhân T. uống khoảng 500 – 600ml nước thuốc sắc từ rễ cây phơi khô. Rễ cây sử dụng được cho là rễ cây cóc với công dụng chữa đau dầu, mất ngủ lâu năm, được đào trong rừng, thường được người dân dùng làm thuốc sắc uống.

Sau khi uống 10 phút, bà T. méo miệng, mệt lả, gọi hỏi vẫn đáp ứng. Bà T. được đưa vào trạm xá xã, sau đó được chuyển bệnh viện huyện. Trên quãng đường kéo dài khoảng 15 phút, ý thức của bệnh nhân giảm dần, gọi hỏi không đáp ứng.

Tại bệnh viện huyện, bệnh nhân được xử trí đặt ống nội khí quản, truyền dịch và chuyển Bệnh viện Đa khoa tỉnh Hà Tĩnh. Trên quãng đường kéo dài hơn 1 giờ, bệnh nhân xuất hiện tím tái.

Vào đến Bệnh viện Đa khoa tỉnh Hà Tĩnh, bệnh nhân trong tình trạng ngừng tuần hoàn phải xử trí cấp cứu sau 15 phút có mạch trở lại. Tuy nhiên tình trạng ngừng tuần hoàn vẫn tiếp tục xảy ra sau đó. Cùng ngày, bệnh nhân được chuyển đến Trung tâm Chống độc, Bệnh viện Bạch Mai trong tình trạng hôn mê sâu, suy hô hấp, trụy tim mạch.

Các bác sĩ Trung tâm Chống độc – Bệnh viện Bạch Mai đã tiến hành các phác đồ điều trị tích cực, tuy nhiên bệnh nhân không qua khỏi. Ngày 9/7, gia đình xin cho bệnh nhân về nhà.

Phim chụp cho thấy não của bệnh nhân T. bị tổn thương, phù nề (Ảnh: bachmai.gov.vn)

Với các biểu hiện của ca bệnh, các bác sĩ của Trung tâm Chống độc nghi ngờ bệnh nhân bị ngộ độc cây lá ngón. Các bác sĩ đã thu thập mẫu nước sắc rễ cây của bệnh nhân để làm xét nghiệm tại bệnh viện, đồng thời gửi mẫu tới Viện Kiểm nghiệm An toàn vệ sinh thực phẩm quốc gia. Kết quả xét nghiệm từ Viện Kiểm nghiệm An toàn vệ sinh thực phẩm quốc gia cho thấy mẫu nước sắc và cành rễ khô thái lát người nhà bệnh nhân cung cấp, đều tìm thấy chất độc nhóm koumine và gelsemine, đây đều là các độc tố trong cây lá ngón.

TS. BS Nguyễn Trung Nguyên, Giám đốc Trung tâm Chống độc, Bệnh viện Bạch Mai cho hay: “Cây lá ngón và cây rễ cóc có hình dạng giống nhau, rất dễ nhầm lẫn. Việc đào một rễ cây từ đất trong rừng vốn đã nhiều cây cối mọc đan xen nhau thì hoàn toàn có thể lấy nhầm phải rễ của một cây khác. Trung tâm chống độc trước đây cũng đã từng gặp các trường hợp tương tự uống nhầm phải rễ cây lá ngón, hoặc tự tử bằng ăn lá ngón”.

Người nhà bệnh nhân cho biết thêm, còn có 3 người khác cùng uống uống nước thuốc sắc từ rễ cây với bà T.

“Ba người uống tối hôm trước, biểu hiện nhẹ có thể do nước thuốc vừa sắc, độc tố ngấm ra chưa nhiều và lượng uống ít. Để qua đêm, chất độc khuếch tán, ngấm vào nước, bệnh nhân T.T.T lại uống nhiều 500 – 600ml. Với lá ngón chỉ cần một lượng rất nhỏ, 2 – 3 lá khi ăn phải đã có thể nhanh chóng gây tử vong”, bác sĩ Nguyên phân tích.

Cây lá ngón rất dễ bị nhầm với các loại cây thuốc, rau rừng

Cây lá ngón (hay còn gọi là ngón vàng, thuốc rút ruột) thuộc họ mã tiền, thân cây dạng leo, là loại cây độc thường mọc tự nhiên ở các tỉnh miền núi Việt Nam, đặc biệt phía Bắc.

Thành phần độc tố trong cây lá ngón gồm các alkaloid indole: koumine, gelsemine, gelsemicine, sempervirine và các chất khác, có ở toàn bộ cây nhưng nhiều nhất là ở rễ và thậm chí mật hoa, ong ăn phải mật cũng có thể bị nhiễm độc.

Độc tố chính của lá ngón là các độc tố thần kinh (gây liệt các cơ, giật cơ giống co giật), độc với tim (gây loạn nhịp tim). Sau khi ăn uống cây lá ngón, độc tố hấp thu nhanh, tình trạng ngộ độc xuất hiện nhanh, chỉ khoảng 5 – 10 phút.

(Ảnh trái) Cây rễ cóc thường được người dân dùng để chữa đau đầu, mất ngủ. (Ảnh phải) Rễ cây được người nhà bệnh nhân T. cung cấp, qua xét nghiệm là rễ cây lá ngón. (Ảnh: bachmai.gov.vn)

Chất độc vào cơ thể gây liệt tất cả các cơ, nhìn đôi (nhìn một vật thành hai, do liệt cơ mắt), mờ mắt, nghẹo đầu mặt cổ, méo miệng, nói khó, liệt các cơ hô hấp biểu hiện khó thở, thở yếu, suy hô hấp, liệt chân, tay, loạn nhịp tim và nhanh chóng ngừng tim, tử vong nếu không được cấp cứu kịp thời.

Nguyên nhân tử vong là do liệt các cơ hô hấp (cơ hoành, cơ liên sườn, các cơ vùng hầu họng), co cứng cơ, giật cơ giống co giật hoặc do loạn nhịp tim, hoặc cả kết hợp các nguyên nhân này.

“Cây lá ngón rất dễ nhầm lẫn với các loại cây thuốc, rau rừng, nguy cơ ngộ độc cao nếu ăn phải. Cần được loại bỏ khỏi cây lá ngón khỏi khu vực sinh sống. Với tất cả các cây cỏ, động vật, nấm thì việc nhận dạng xác định giữa loại độc và không có độc, hoặc nhận dạng xác định đúng là rất khó và nguy hiểm với người dân, chỉ có các chuyên gia về từng lĩnh vực mới có thể nhận dạng, ví dụ chuyên gia về thực vật, chuyên gia về nấm, chuyên gia về rắn,… Thuốc Tây y hay thuốc y học cổ truyền thì cũng phải luôn bắt buộc tuân thủ theo nguyên tắc về quản lý và sử dụng thuốc. Với người dân, không nên tự ý vào rừng đào rễ cây, hái lá rừng để sử dụng, rất dễ nhầm lẫn với cây lá ngón”, bác sĩ Nguyên khuyến cáo.

Đưa ra lời khuyên, bác sĩ Nguyên cho hay người dân bị bệnh thì hãy đi khám tại các cơ sở y tế, các bệnh viện, nếu muốn dùng thuốc y học cổ truyền thì cũng phải khám trực tiếp tại các cơ sở khám chữa bệnh được cấp phép, đủ năng lực khám chữa bệnh, với các thầy thuốc, lang y có chứng chỉ, có đăng ký, được cấp phép hành nghề.

Minh Sơn

Minh Sơn

Published by
Minh Sơn

Recent Posts

Tác giả “Killed to order”: Đã đến lúc nhận thức sự thật về mổ cướp nội tạng sống

Tác giả cuốn “Bị giết theo đơn đặt hàng” (Killed to order) cho biết việc…

5 phút ago

Mỹ yêu cầu ngừng cung cấp thiết bị sản xuất chip cho Hua Hong của Trung Quốc

Theo tiết lộ của truyền thông, Bộ Thương mại Mỹ tuần trước đã gửi chỉ…

11 phút ago

Iran được bầu vào vị trí quan trọng trong Hiệp ước Không phổ biến vũ khí hạt nhân

Hoa Kỳ đã chỉ trích sự việc là một "sự xúc phạm trắng trợn" đối…

51 phút ago

Musk và Altman đối đầu tại tòa về tương lai OpenAI

Một cuộc tranh chấp pháp lý kéo dài nhiều năm giữa tỷ phú Elon Musk,…

1 giờ ago

Trung Quốc: Quảng Tây mưa cực lớn, đường phố ngập sâu, xe cộ chìm trong nước

Ngày 27/4, thành phố Khâm Châu (Qinzhou), Quảng Tây, đã hứng chịu một đợt mưa…

1 giờ ago

Mỹ cảnh báo trừng phạt giao dịch liên quan nhà máy lọc dầu “teapot” Trung Quốc

Mỹ cho biết Trung Quốc hiện mua khoảng 90% lượng dầu xuất khẩu của Iran,…

1 giờ ago