Hai người Việt muốn hiến phổi cho bệnh nhân 91

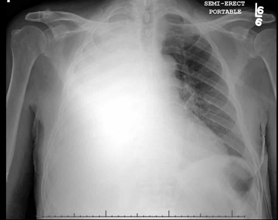
Bản chụp X-quang hai lá phổi của một bệnh nhân bị đông đặc. Phần bị hư hại màu trắng mờ, phần màu đen còn có thể hoạt động. (Ảnh minh họa: Emory Medical School).

Ông Nguyễn Hoàng Phúc, Phó giám đốc Trung tâm Điều phối quốc gia về ghép bộ phận cơ thể người cho biết trung tâm đã nhận được lời đề nghị được đăng ký hiến tặng một phần phổi cho bệnh nhân phi công người Anh (bệnh nhân 91).

Trong đó, cựu chiến binh ngoài 70 tuổi ở Đăk Nông hai lần gọi điện đến Trung tâm xin được hiến một phần phổi cho bệnh nhân 91. Ông Phúc cho hay giọng ông chùng xuống khi được biết các quy định hiện tại không cho phép nhận tạng từ người ngoài 70 tuổi.

Trung tâm cũng nhận được tin nhắn đề nghị hiến phổi từ một phụ nữ 40 tuổi. Cô cho biết: “Nếu chỉ cần ghép một phần phổi cũng có thể cứu được bệnh nhân, thì em xin phép đăng ký hiến tặng nhé!”.

Người phụ nữ chia sẻ mình khỏe mạnh, đang có gia đình hạnh phúc, không hề quen biết với phi công người Anh. Chị cho biết nhiều năm qua đã nhận được rất nhiều yêu thương, giúp đỡ và may mắn… nên giờ muốn để tình thương tiếp tục lan toả để giúp đỡ lại những người khác.

Ông Phúc cho biết việc ghép phổi cho bệnh nhân 91 sẽ còn phụ thuộc vào hội đồng chuyên môn có chỉ định ghép hay không và ghép như thế nào, khi đó mới tính đến các yếu tố hoà hợp về thể trạng, miễn dịch. Nếu có chỉ định ghép, ưu tiên số một vẫn là tìm nguồn hiến tặng từ người chết não. Ngoài ra, còn có phương án nhận phổi hiến tặng từ người cho còn sống, đó có thể là một phương án được nghĩ tới nhưng phù hợp hay không sẽ phải tính tiếp.

Vừa qua, có một trường hợp chết não nhóm máu O được người nhà đồng ý hiến tặng tạng nhưng rất tiếc, phổi của bệnh nhân đã bị hỏng.

Sức khoẻ bệnh nhân 91 ngày 13/5 tiếp tục tiên lượng rất xấu. Cả 2 lá phổi của bệnh nhân bị xơ hóa đông đặc, chỉ còn khoảng 10% có thể hoạt động. Nếu không có máy ECMO hỗ trợ, bệnh nhân sẽ tử vong. Hiện, cách duy nhất để cứu bệnh nhân là ghép phổi.

Mặc dù vậy, ông Phúc cho biết ghép phổi là kĩ thuật ghép tạng khó nhất hiện nay, cả về kỹ thuật trong ghép và chăm sóc hậu phẫu sau ghép.

Việt Nam hiện mới thực hiện thành công 5 ca ghép phổi, trong đó một ca ghép từ người cho sống tại Bệnh viện 103. Bệnh viện Việt Đức tiến hành hai ca ghép phổi từ người cho chết não. Một trong hai bệnh nhân này sau 10 tháng mới có thể xuất viện.

Nguyễn Quân

Nguyễn Quân

Published by
Nguyễn Quân

Recent Posts

Mỹ trừng phạt 35 cá nhân, tổ chức liên quan mạng lưới ngân hàng ngầm của Iran

Bộ Tài chính Mỹ hôm thứ Ba (28/4) tuyên bố áp đặt lệnh trừng phạt…

44 phút ago

Đậu nành tốt cho bệnh phổi mạn tính?

Không phải thuốc, cũng không phải thiết bị hỗ trợ hô hấp, một yếu tố…

2 giờ ago

Tác giả “Killed to order”: Đã đến lúc nhận thức sự thật về mổ cướp nội tạng sống

Tác giả cuốn “Bị giết theo đơn đặt hàng” (Killed to order) cho biết việc…

3 giờ ago

Mỹ yêu cầu ngừng cung cấp thiết bị sản xuất chip cho Hua Hong của Trung Quốc

Theo tiết lộ của truyền thông, Bộ Thương mại Mỹ tuần trước đã gửi chỉ…

3 giờ ago

Iran được bầu vào vị trí quan trọng trong Hiệp ước Không phổ biến vũ khí hạt nhân

Hoa Kỳ đã chỉ trích sự việc là một "sự xúc phạm trắng trợn" đối…

3 giờ ago

Musk và Altman đối đầu tại tòa về tương lai OpenAI

Một cuộc tranh chấp pháp lý kéo dài nhiều năm giữa tỷ phú Elon Musk,…

4 giờ ago